
족저근막염은 단순한 발 통증이 아니라, 발바닥 근막에 염증이 생겨 걷기조차 힘들어지는 질환입니다. 러닝, 하이힐 착용, 오래 서 있는 습관 등 다양한 요인이 복합적으로 작용해 생기며, 특히 중년층과 운동량이 많은 사람에게 흔하게 발생합니다. 이 글에서는 족저근막염의 정확한 의학적 원인과 단계별 증상, 그리고 예방과 관리의 핵심 포인트를 전문가 관점에서 체계적으로 정리했습니다. 족저근막염을 단순한 피로가 아닌, 의학적 관점에서 이해하고 회복 방향을 잡고자 하는 분들에게 실질적인 도움이 될 것입니다.
족저근막염의 의학적 원인: 근막 손상과 체중 부담의 복합 작용
족저근막염의 근본 원인은 발바닥 근막(Plantar Fascia)의 미세 손상입니다. 이 조직은 발뒤꿈치에서 시작해 발가락 쪽으로 이어지는 강한 섬유띠 구조로, 보행 시 충격을 흡수하고 아치를 지탱하는 역할을 합니다. 그러나 이 근막에 지속적으로 과도한 하중이 가해지면, 근육처럼 회복하기 어려운 미세 염증이 생기며 통증이 발생합니다.
대표적인 원인으로는 다음과 같은 요인들이 있습니다.
- 과사용(Overuse): 장시간 걷거나 달리기를 지속할 경우 근막이 반복적으로 긴장되며 미세 파열이 누적됩니다. 특히 갑작스럽게 운동량을 늘리거나 마라톤, 트레킹 등 체중 부하가 큰 운동을 시작할 때 잘 생깁니다.
- 체중 증가와 비만: 체중이 늘어나면 발바닥에 가해지는 압력이 증가해 족저근막에 과부하가 생깁니다. 비만뿐 아니라 임신 중 여성도 족저근막염의 발병률이 높습니다.
- 신발 요인: 밑창이 딱딱하거나 쿠션이 부족한 신발, 하이힐, 슬리퍼는 족저근막의 탄력을 감소시킵니다. 특히 발 모양과 맞지 않는 운동화는 러닝 시 충격을 흡수하지 못해 손상을 가중시킵니다.
- 발 구조적 문제: 편평족(flat foot)은 족저근막이 늘어나 긴장된 상태가 되고, 반대로 요족(high arch)은 발바닥이 굳어져 하중을 분산하지 못합니다. 이러한 구조적 불균형은 족저근막의 한쪽에 과도한 압력을 주게 됩니다.
- 연령과 퇴행성 변화: 40대 이후부터 근막의 탄력성이 감소하면서 염증에 더 취약해집니다. 근육과 인대가 경직되면 충격 완화 능력이 떨어져 작은 자극에도 통증이 발생합니다.
결국 족저근막염은 단일 원인으로 생기는 질환이 아니라, 생활습관, 체중, 운동 습관, 신발 선택, 체형 불균형 등이 모두 복합적으로 작용한 결과라고 할 수 있습니다.
족저근막염의 주요 증상: 아침 통증에서 만성 염증까지
족저근막염의 초기 증상은 매우 미묘합니다. 발뒤꿈치에 약간의 당김이나 뻐근함이 느껴지지만, 시간이 지나면 괜찮아지기 때문에 단순 피로로 오해하기 쉽습니다. 하지만 이 통증이 반복되고 강도가 높아진다면, 이미 근막 손상이 진행되고 있는 신호입니다.
1단계: 초기 염증기
아침에 일어나 첫발을 내디딜 때 통증이 가장 심하게 느껴집니다. 이 시기에는 근막이 수면 중 짧아졌다가 체중이 실리며 갑자기 늘어나면서 통증이 발생합니다. 걸음을 몇 분 정도 걸으면 통증이 완화되지만, 이는 염증이 사라진 것이 아니라 일시적으로 근막이 늘어나 완화된 것입니다.
2단계: 진행기
통증이 운동 중이나 일상생활에서도 자주 나타납니다. 장시간 서 있거나 계단을 오를 때, 또는 운동 후 통증이 심해지기도 합니다. 이 시기에는 족저근막의 염증이 지속되어 부기가 생기며, MRI 검사에서 미세 파열 소견이 관찰되기도 합니다.
3단계: 만성기
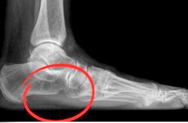
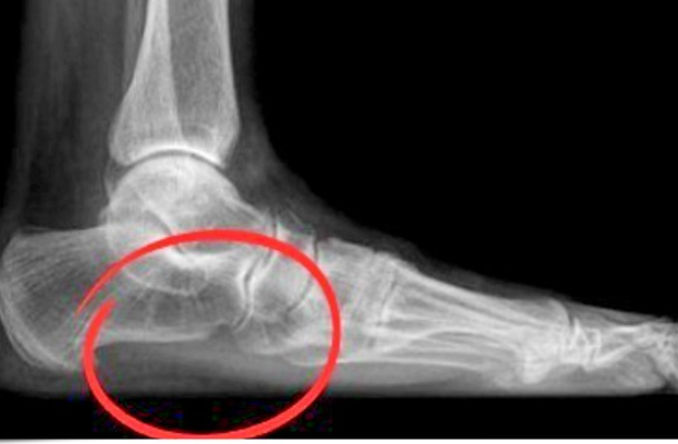
염증이 오래 지속되면 족저근막이 점차 두꺼워지고, 발뒤꿈치 뼈에 석회성 돌기(Heel Spur)가 형성되기도 합니다. 통증이 지속적이며, 휴식 중에도 찌릿하거나 화끈거리는 느낌이 나타납니다. 이 단계에서는 단순 물리치료만으로는 회복이 어려워 전문적인 비수술 치료가 필요합니다.
족저근막염의 통증은 단순한 근육통과 달리 “휴식 후 재활성화될 때 더 심해지는 특징”이 있습니다. 즉, 쉬면 괜찮다가 다시 걷기 시작하면 아픈 패턴이 반복됩니다. 이 패턴이 나타난다면 조기에 진단을 받는 것이 매우 중요합니다.
진단, 치료, 그리고 재활 관리의 핵심 원칙
족저근막염 진단은 대부분 문진과 촉진검사로 충분히 가능합니다. 의사는 통증의 위치, 발생 시기, 운동 습관 등을 분석하며 필요시 초음파나 MRI를 통해 염증의 범위를 확인합니다.
1. 비수술적 치료
대부분의 환자는 수술 없이 회복이 가능합니다. 가장 기본적인 치료는 휴식(Rest)과 스트레칭(Stretching)입니다. 충격을 줄이기 위해 딱딱한 바닥에서 맨발로 걷는 행동은 피하고, 발바닥과 종아리를 중심으로 한 스트레칭을 하루 2~3회 꾸준히 시행하는 것이 중요합니다. 냉찜질은 염증 완화에 효과적이며, 만성기에는 온찜질로 혈류를 촉진할 수 있습니다. 또한 발 아치 지지력이 높은 실리콘 깔창이나 정형용 러닝화를 착용하면 통증을 줄일 수 있습니다.
2. 물리치료 및 체외충격파(ESWT)
전문 클리닉에서는 초음파 치료, 근막이완 마사지, 체외충격파 치료 등을 병행합니다. 체외충격파는 손상된 근막 부위의 혈류를 증가시켜 회복 속도를 높이며, 만성 염증 완화에 매우 효과적입니다.
3. 운동 및 재활 관리
완전한 회복 후에는 재발 방지가 중요합니다. 갑작스러운 러닝보다는 워킹 → 조깅 → 러닝 순으로 강도를 서서히 높여야 하며, 운동 후에는 종아리 근육과 발바닥 근막을 충분히 풀어주는 스트레칭을 반드시 병행해야 합니다. 족저근막염은 한 번 발생하면 재발이 잦은 질환이므로, 평소 체중 관리, 쿠션감 좋은 신발 착용, 정기적인 스트레칭이 필수입니다.
족저근막염은 단순히 “많이 걸어서 생긴 통증”이 아니라, 발 구조, 운동 습관, 체중, 신발 선택 등이 복합적으로 작용한 전신적인 과사용 증후군입니다. 하지만 조기 진단과 꾸준한 관리만으로 대부분 회복이 가능하며, 무엇보다 중요한 것은 “통증을 방치하지 않는 것”입니다. 발은 하루 평균 7,000회 이상 체중을 지탱하는 중요한 부위이므로, 작은 통증이라도 초기에 원인을 파악하고 치료를 시작하는 것이 건강한 회복의 첫걸음입니다. 꾸준한 스트레칭, 맞는 신발, 그리고 적절한 운동 강도를 유지한다면, 족저근막염 없는 편안한 걸음을 되찾을 수 있습니다.